一、患者信息及影像

患者:女性,8岁

主诉 :主诉:双足内收、内翻畸形,呈马蹄状,且随年龄增长逐渐加重。

现病史:双足明显内翻、内收畸形,跟腱及跖筋膜挛缩、紧张,双足距骨、骰骨均脱位,骰骨外凸形成滑囊,双足跟内翻,尖小,双足背外侧着地负重,内踝深陷,背伸活动功能障碍,不能独立行走,双小腿肌肉萎缩。

既往史:第2胎第1产,孕期36周,顺产,出生体重2300克,出生时双足内收、内翻畸形,母亲孕期健康。

实验室检查:无。

超声:无。

CT/MRI扫描:无。

查体:无。

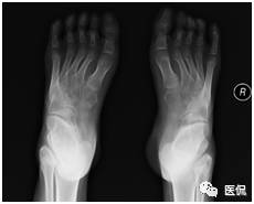
人体骨骼足部_足部骨骼图_足部骨骼构造

足部骨骼构造_人体骨骼足部_足部骨骼图

足部骨骼构造_人体骨骼足部_足部骨骼图

二、病例问答挑战

问题一

医看

答案解读:C

解析:该患者临床上跟骨内翻、前足内收,不难理解,双足前部内收,跖骨近端聚拢、外移;足外侧着地,内侧悬空,第五跖骨近端刺激增多,造成肥大,第一跖骨刺激较少,引起萎缩,故A、B、D是正确的;C选项距骨向内移位足部骨骼图,很明显是错误的,因为跟骨内翻,为维持稳定,距骨会相应外移。

问题二

在提供的双足X线负重侧位图像上,关于病灶的描述,下列不正确的是(单选)

A 足内弓减小,足外弓增大

B 舟骨发育不良,距舟关节半脱位

C 跟距角明显减小,严重者跟骨与距骨中轴线近似平行

D 胫骨远端骨骺均匀变扁,腓骨远端骨骺向后下方移位

答案解读:D

解析:该患者以足长轴呈内翻状态,足外侧着地,骨内弓减小,足外弓增大;距骨下部发育较小,邻近关节间隙变窄,致使距舟关节向上半脱位,舟骨位于跗骨的最高点;足内弓减小,足外弓增大情况下,必然引起跟距角明显减小;跟骨内翻,距骨相对外移,相应胫骨远端骨骺内侧部分刺激较多,骨化较大,故发育不对称足部骨骼图,腓骨骨骺亦会向后下方移位,故D选项错误。

问题三

在提供的X线负重侧位图像上,关于角度的测量,下列正确的是(多选)

A 跟骨倾斜角的测量:跟骨下缘的连线、跟骨后结节低点与第五跖骨远端低点的连线,二者的夹角

B 跟骨中轴线的测量:与跟骨倾斜角的测量一致

C 距骨中轴线的测量:距骨距舟关节的中点与过滑车横断面的中点的连线

D 距骨中轴线的测量:距骨头低点与过滑车横断面低点的连线

E 第一跖骨中轴线的测量:第一跖骨近端与远端中点的连线

答案解读:A B E

解析:根据国外最新标准,在原有标准基础上略有修改,更能准确客观的进行数据的测量,测量如下(以左足为例):如下图。

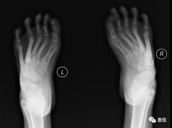
足部骨骼图_足部骨骼构造_人体骨骼足部

足部骨骼图_足部骨骼构造_人体骨骼足部

足部骨骼图_人体骨骼足部_足部骨骼构造

足部骨骼图_人体骨骼足部_足部骨骼构造

三、诊断与鉴别诊断

诊断要点

本病例临床病史示双足内翻、内收,呈马蹄状,X线整体观及个骨形态的改变与之相对应。负重X线侧位片显示足内弓减小,足外弓增大,舟骨发育不良,距舟关节半脱位,跟距角明显减小。

测量数据说明:测量的数据可反映病理改变及其程度,用以下角度加以说明。一是跟距角明显变小(正常值25-45度),严重者跟骨与距骨接近平行;二是跟骨倾斜角变小(正常值17-32度);三是距骨与第一跖骨向上成角,且大于4度。关于角度的测量,中轴线的定位尤为重要,不准确也会影响最终诊断。根据国外最新标准在原有标准基础上略有修改,更能准确客观的进行数据的测量,测量方法见后文。

鉴别诊断

(1)高弓足:高弓足又称空凹足,足弓凹陷呈弓形,内外弓均缩小,即距骨与第一跖骨向上成角,且大于4度;跟骨倾斜角增大,大于32度;而马蹄内翻足跟骨倾斜角是减小的,小于17度。

足部骨骼构造_人体骨骼足部_足部骨骼图

足部骨骼图_人体骨骼足部_足部骨骼构造

(2)扁平足:属于软性扁平足,持重时足弓扁平,非持重状态时足无畸形,该病足内外弓均增大,即距骨与第一跖骨向下成角,且大于4度(4~15度为轻度;15~30度为中度;大于30度为重度),跟骨倾斜角减小,小于17度;而马蹄内翻足,距骨与第一跖骨向上成角,且大于4度。

足部骨骼构造_人体骨骼足部_足部骨骼图

足部骨骼构造_足部骨骼图_人体骨骼足部

本病例影像学表现提示的诊断线索

足部非负重正位片:足前部明显内收,跖骨远端及趾骨平铺,跖骨近端聚拢、外移;第1跖骨萎缩,第5跖骨肥大,密度增高;距骨扁而宽,距骨中轴线明显远离第1跖骨,跟骨内翻呈马蹄状,跟骨中轴线明显远离第5跖骨,跟距关节半脱位;跗骨形态失常,舟骨外侧发育较小,相应部分与距骨形成关节中创网,但距舟关节半脱位,跗骨关节间隙变窄;胫骨远端骨化中心外侧部分较内侧部分明显扁小。

因常规正位片踝部跟骨、距骨、跗骨及胫腓骨重叠较多,诸骨形态失常、变化较大,且测量误差增大,很小的位置改变即可改变足骨的关系,所以只要可能,正位、侧位片都应行负重位检查,但负重正位片受设备及投照的限制不易达到,因此角度的测量主要在负重侧位片上进行才更有价值。

足部负重侧位片:跟骨马蹄位,其上下径增大;舟骨外侧发育较小,距舟关节半脱位;即使强迫前足向背弯曲,其较后足仍向足底弯曲(弓形足);跟距角变小(正常25-45度),严重时跟骨与距骨中轴线近似平行。

先天性马蹄内翻足

先天性马蹄内翻足是足部常见的先天性畸形,发病率约为0.05-0.2%,发病率在各种族间存在一定差异,在中国约0.051%。为男性发病较多,可为单侧发病,也可双侧,80%为先天性。关于先天性马蹄内翻足病因、病理及发病机制国内外尚无统一说法,目前倾向于多基因参与且受环境因素影响胚胎期异常发育的结果。遗传因素显然发挥了重要作用,显示双胞胎其中一个有先天性马蹄内翻足,另一个出现先天性马蹄内翻足的机率为33%,在所病例中约25%的是家族性。PITX1基因,其编码几乎完全在下肢中表达的转录因子,是涉及马蹄足的第一个基因。与胚胎肢体发育相关的基因有:Hox、Tbx、Pax、Myod等,目前已有HoxD、Pax与先天性马蹄内翻足相关性的研究。

先天性马蹄内翻足由足下垂、内翻、内收三个主要畸形综合而成。以后足内翻、内旋,前足内收、内翻、高弓,踝关节马蹄为主要表现的畸形疾病。关于先天性马蹄内翻足的评估,包括足部形态学评估、足部功能评估及影像学评估等。其中影像学评估主要是通过客观测量马蹄足跗骨间关系的各种角度来进行的,对临床治疗及治疗后的疗效评价有着非常重要的意义。婴儿马蹄内翻足的跗骨形态大多不规则,难于划出其轴线,其骨核常常是偏心的,并且其骨化中心发育落后于正常足。3D-CT图像能直观显示足部各骨的形态及其空间关系,3DCT的旋转和切割技术,可在最佳位置和角度来评定马蹄足的内翻程度和观察各骨之间的空间关系,可作为马蹄内翻足的X线片的有效补充手段。MRI可显示软骨的形态,为本病的评估提供新的检查方法,尤其适用于婴幼儿马蹄足的分类。有学者认为能更好的显示婴幼儿马蹄足跗骨的各种病理变化,更能直观准确的描述各跗骨的位置及其相互关系。超声检查评价先天性马蹄内翻足具有很大的临床意义,由于超声检查非常容易进行,费用便宜,非骨化结构可被直观看到,还可以避免X线辐射。

病例供稿:深圳市儿童医院 于根建

先天性马蹄内翻足(congenital talipesequinovarus,CTEV)是较常见足部先天畸形,发病率为0.1%。主要临床表现为足前内收、跟骨内翻、踝关节马蹄、伴或不伴有胫骨内旋。多数认为跗骨尤其是距骨为病变主要发生的部位。临床根据其表现可做出诊断,影像检查的目的是通过影像学客观测量足部跟骨、距骨等诸跗骨及跖骨间关系的各种角度,反映先天性马蹄内翻足的病理改变及其程度,对临床治疗有着非常重要的指导意义。国际马蹄内翻足研究学会(ICFSG)提出了X线平片的评估标准,负重正位片应测量:距跟角、跟骰骨排列、骰骨第五跖骨轴、距骨舟骨位置关系、距骨第一跖骨轴;负重侧位片上测量胫骨跟骨角、距跟角、距舟骨位置关系、跟骨第五跖骨轴、距骨第一跖骨轴、扁平距骨;负重踝关节正位片情况。以上角度、排列及对位关系属正常范围则记为0分,异常则记为1分,放射评估总分在整个评估系统中占12分。近年来,CT尤其是三维CT成像可直观显示足部诸骨形态及其空间关系,在评估内翻程度和术后疗效上明显优于X线平片。MRI可显示软骨的形态,为本病的评估提供新的检查方法,尤其适用于婴幼儿马蹄足的分类。有学者认为能更好的显示婴幼儿马蹄足跗骨的各种病理变化,更能直观准确的描述各跗骨的位置及其相互关系。

点评专家:深圳市儿童医院 曾洪武

长按图片,识别二维码▲

发表回复

您的电子邮箱地址不会被公开。 必填项已用*标注