杜勒小体长得什么样子_杜勒小体_杜勒小体图片

【形态学周考】栏目,每周一期与检验人一起提升形态学基本功!本期图片均来源于新浪微博账号@王霄霞-血液学检验教师,由温州医科大学血检教研室主任王霄霞教授授权发布。

——检验君

点击下方空白区域查看答案

中性杆状核粒细胞(2个)、嗜碱性中幼粒细胞(右)」

主要观察焦点是右边细胞,其胞核染色质细致,胞质中含有许多紫黑色颗粒而无明显中性颗粒,综合分析感觉像嗜碱性中幼粒细胞。如何与早幼粒细胞区分,一时无法用文字表达,只能是意会啦,大家看多了就有感觉了。

点击下方空白区域查看答案

「中性晚幼粒细胞(左)、淋巴细胞(右)」

中性晚幼粒细胞(左)、淋巴细胞(右)。主要观察焦点是左边这一细胞,其胞体较大,胞质中含有丰富的中性颗粒而无明显A颗粒,胞核较大、肾形、染色质粗。故为中性晚幼粒细胞,只不过有巨幼样变而已。

杜勒小体图片_杜勒小体长得什么样子_杜勒小体

点击下方空白区域查看答案

「浆细胞」

浆细胞。该细胞不典型之处就是胞质不丰富,无明显淡染区及泡沫浆。易与中幼红细胞混淆,但后者胞质没这么深蓝杜勒小体,且有多色性。

点击下方空白区域查看答案

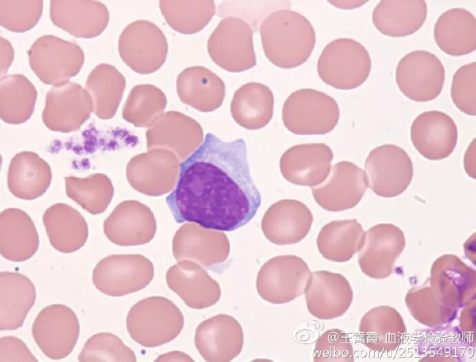
「淋巴细胞及成堆的血小板」

淋巴细胞及成堆的血小板。该细胞初看似中幼红细胞,其胞核圆形、居中,胞质也较多,但染色质结构及胞质颜色均不像中幼红细胞。

杜勒小体图片_杜勒小体_杜勒小体长得什么样子

点击下方空白区域查看答案

「中幼红细胞」

中幼红细胞。该细胞含嗜碱性点彩是它的主要特点之一,其胞质多色,胞核圆形,染色粗块状。

杜勒小体_杜勒小体长得什么样子_杜勒小体图片

点击下方空白区域查看答案

「淋巴细胞(TUCK细胞)」

淋巴细胞(TUCK细胞)。该淋巴细胞可能受某些因素刺激,胞体变大、胞质变蓝了,染色质粗。总体分析杜勒小体,我个人认为达不到异淋的特点,不过临床上有些人会将它归入异淋。

点击下方空白区域查看答案

「中性中幼粒细胞(下)、涂抹细胞(上)」

中性中幼粒细胞(下)、涂抹细胞(上)。下面这个细胞可见A颗粒首码项目,虽然胞质灰蓝色,但感觉胞质中还是有少许中性颗粒,胞核也较规则,所以归中性中幼粒细胞。

点击下方空白区域查看答案

「单核细胞」

单核细胞。该细胞胞体较大,胞质较多,呈较清澈的蓝色(与淋巴细胞相似),但胞核也较大,染色质较疏松而且似有折叠。日常工作中。类似这类的单核细胞与淋巴细胞易混淆。

点击下方空白区域查看答案

「异淋(左)、中性分叶核粒细胞(中)、中性晚幼粒细胞(右)」

异淋(左)、中性分叶核粒细胞(中)、中性晚幼粒细胞(右)。主要观察焦点为左边这一细胞。其胞体较大,胞质也较多、深蓝色,胞核较规则,染色质偏粗。

点击下方空白区域查看答案

「幼稚细胞(淋巴瘤样细胞)」

首先可以肯定,该细胞是幼稚细胞(胞质中含有较多颗粒),其胞体较巨大,胞质深蓝色,核仁多个、大而清晰,而染色质较其他系的幼稚细胞及原始细胞粗,这些都是淋巴瘤细胞的一些特点,但我们根据形态学无法确认,故为淋巴瘤样细胞。

挑战!临床病例题

患者男,41岁,慢性胃炎症。血常规:WBC 6.95×109/L,Hb 47 g/L,PLT 41×109/L。镜检白细胞分类正常。请大家积极参与讨论,这些是什么细胞?考虑什么?

杜勒小体图片_杜勒小体_杜勒小体长得什么样子

点击下方空白区域查看答案

患者PLT减少,WBC及Hb正常(Hb147g/L误写成Hb47g/L)。但仔细观察每个NEU均含有“杜勒小体”,由于有些位于易被忽视。易误认为感染引起的杜勒小体,但患者PLT减少而WBC数及分类均正常,所以应考虑到是否存在May-Hegglin畸形的可能性(已证实),易见大血小板也是该畸形的特点。

第48期形态学周考到此结束

往期回顾

【形态学周考】

【形态学周考】

发表回复

您的电子邮箱地址不会被公开。 必填项已用*标注