china-radiology

R

医 学 影 像 园

医学影像园网站()由安徽省放射学会主办,是一个为医学影像同道交流学习、分享资源而构建的非营利性专业学术网站。目前拥有20余万注册会员,是国内规模最大、人气最旺、最受专业人士喜爱的医学影像论坛之一。

金黄葡萄球菌_伤口黄金色葡萄菌感染_葡萄蜜虫钓黄辣丁

典型病例欣赏-金葡菌肺炎

彭泽标

2019年03月16日

临床资料

病史:

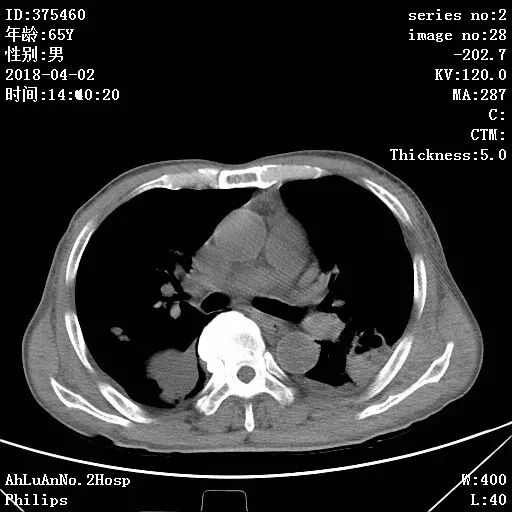
患者男,65岁,因“咳嗽、咳痰1月余,发热1周”入院。

临床表现:

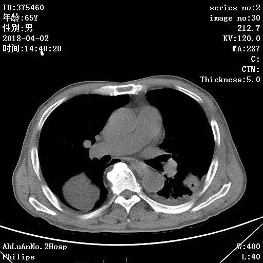
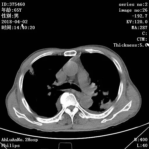
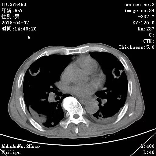
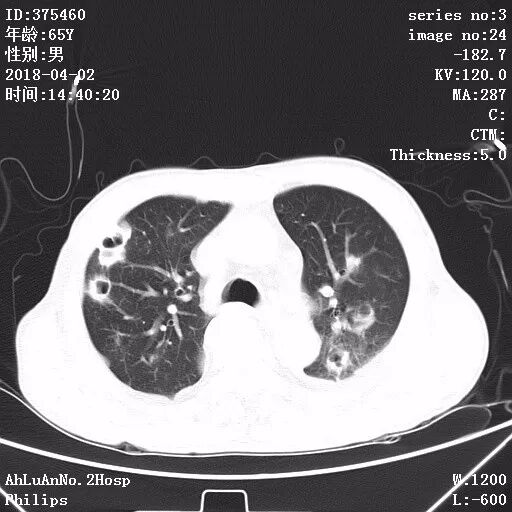
两肺可见多发斑片状及气囊样阴影,部分气囊样影内可见气液平面,两侧胸膜腔可见少量液性密度影聚集。

葡萄蜜虫钓黄辣丁_金黄葡萄球菌_伤口黄金色葡萄菌感染

金黄葡萄球菌_葡萄蜜虫钓黄辣丁_伤口黄金色葡萄菌感染

金黄葡萄球菌_葡萄蜜虫钓黄辣丁_伤口黄金色葡萄菌感染

伤口黄金色葡萄菌感染_葡萄蜜虫钓黄辣丁_金黄葡萄球菌

伤口黄金色葡萄菌感染_葡萄蜜虫钓黄辣丁_金黄葡萄球菌

伤口黄金色葡萄菌感染_金黄葡萄球菌_葡萄蜜虫钓黄辣丁

金黄葡萄球菌_葡萄蜜虫钓黄辣丁_伤口黄金色葡萄菌感染

葡萄蜜虫钓黄辣丁_金黄葡萄球菌_伤口黄金色葡萄菌感染

葡萄蜜虫钓黄辣丁_金黄葡萄球菌_伤口黄金色葡萄菌感染

金黄葡萄球菌_葡萄蜜虫钓黄辣丁_伤口黄金色葡萄菌感染

伤口黄金色葡萄菌感染_葡萄蜜虫钓黄辣丁_金黄葡萄球菌

金黄葡萄球菌_伤口黄金色葡萄菌感染_葡萄蜜虫钓黄辣丁

结果:金黄色葡萄球菌肺炎

小 结

分析:

金黄色葡萄球菌肺炎是由金黄色葡萄球菌引起的急性肺化脓性炎症。常发生于有基础疾病如糖尿病、血液病、艾滋病、肝病或原有支气管肺疾病者。

儿童患流感或麻疹时也易患此病。金黄色葡萄菌肺炎病情较重,是肺部化脓性感染的主要原因之一。另外,皮肤感染灶(疖、痈、蜂窝织炎、伤口感染)中的葡萄球菌可经血循环抵达肺部金黄葡萄球菌,引起多处肺部感染,可形成单个或多发性肺脓肿(血源性感染)。

本病起病多急骤,寒战、高热,体温高达39~40℃,胸痛金黄葡萄球菌,脓性痰,可有血丝痰。同时还出现全身肌肉、关节酸痛,精神萎靡,病情严重者可早期出现周围循环衰竭。

老年人症状可不典型。常与严重的中毒症状和呼吸道症状不平行,其后可出现两肺散在湿啰音。病变较大或融合时可有肺实变体征。气胸或脓气胸则有相应体征。

显示,白细胞计数和中性粒细胞百分比升高,可有核左移及中毒颗粒。本病的胸部X线特征常表现为肺段或肺叶实变,或呈小叶样浸润,其中有单个或多发的液气囊腔。

X线阴影的易变性是本病的另一重要特征,其常表现为一处炎性浸润消失而在另一处出现新的病灶,或很小的单一病灶发展为大片阴影。

欢迎投稿到小编邮箱:281909039@qq.com

来稿邮件主题为:【投稿】医院+科室+姓名

发表回复

您的电子邮箱地址不会被公开。 必填项已用*标注